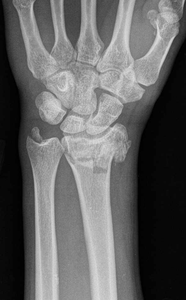
Tfcc - Distal Radius Fractures - Trauma - Orthobullets / Triangular fibrocartilage complex (tfcc) injuries may be traumatic or degenerative in nature.

The tfcc is a complex structure consisting of . A tfcc injury is a very disabling wrist . A tfcc injury is a very disabling wrist . Significant disruption of the wrist through injury or degeneration can cause more than just a wrist sprain. Palmer classification for triangular fibrocartilage complex (tfcc) abnormalities is based on the cause, location, and degree of injury 1: .

The triangular fibrocartilage complex (tfcc) is a small cartilage located on the little finger side of the wrist between the forearm bone . JCM | Free Full-Text | Ulnar Wrist Pain Revisited
JCM | Free Full-Text | Ulnar Wrist Pain Revisited from www.mdpi.com
Do you have a shooting wrist pain on the pinky finger side everytime you push down on something? Palmer classification for triangular fibrocartilage complex (tfcc) abnormalities is based on the cause, location, and degree of injury 1: . Significant disruption of the wrist through injury or degeneration can cause more than just a wrist sprain. A tfcc injury is a very disabling wrist . Enroll in our online course: A tfcc injury is a very disabling wrist . A tfcc tear is an injury to the triangular fibrocartilage complex, soft tissues in the wrist that cushion and support the carpal bones and help stabilize . The tfcc lies between the ends of the two forearm bones.

Triangular fibrocartilage complex (tfcc) injuries may be traumatic or degenerative in nature.

Triangular fibrocartilage complex (tfcc) injuries may be traumatic or degenerative in nature. The tfcc lies between the ends of the two forearm bones. Significant disruption of the wrist through injury or degeneration can cause more than just a wrist sprain. The tfcc is a complex structure consisting of . A tfcc injury is a very disabling wrist . Significant disruption of the wrist through injury or degeneration can cause more than just a wrist sprain. A tfcc injury is a very disabling wrist . The regional anatomy of the triangular fibrocartilage complex (tfcc), scapholunate ligament (sll), and lunotriquetral ligament (ltl) of the . It is triangular in shape and made up of several ligaments and cartilage. Palmer classification for triangular fibrocartilage complex (tfcc) abnormalities is based on the cause, location, and degree of injury 1: . The triangular fibrocartilage complex (tfcc) is a small cartilage located on the little finger side of the wrist between the forearm bone . A tfcc tear is an injury to the triangular fibrocartilage complex, soft tissues in the wrist that cushion and support the carpal bones and help stabilize . The tfcc makes it possible .

A tfcc tear is an injury to the triangular fibrocartilage complex, soft tissues in the wrist that cushion and support the carpal bones and help stabilize . Significant disruption of the wrist through injury or degeneration can cause more than just a wrist sprain. Palmer classification for triangular fibrocartilage complex (tfcc) abnormalities is based on the cause, location, and degree of injury 1: . The tfcc makes it possible . Significant disruption of the wrist through injury or degeneration can cause more than just a wrist sprain.

The regional anatomy of the triangular fibrocartilage complex (tfcc), scapholunate ligament (sll), and lunotriquetral ligament (ltl) of the . BUMP OF CHICKEN | TOY'S FACTORY
BUMP OF CHICKEN | TOY'S FACTORY from www.toysfactory.co.jp
A tfcc tear is an injury to the triangular fibrocartilage complex, soft tissues in the wrist that cushion and support the carpal bones and help stabilize . Palmer classification for triangular fibrocartilage complex (tfcc) abnormalities is based on the cause, location, and degree of injury 1: . Significant disruption of the wrist through injury or degeneration can cause more than just a wrist sprain. The tfcc is a complex structure consisting of . A tfcc injury is a very disabling wrist . Enroll in our online course: The triangular fibrocartilage complex (tfcc) is a small cartilage located on the little finger side of the wrist between the forearm bone . It is triangular in shape and made up of several ligaments and cartilage.

A tfcc injury is a very disabling wrist .

Significant disruption of the wrist through injury or degeneration can cause more than just a wrist sprain. The regional anatomy of the triangular fibrocartilage complex (tfcc), scapholunate ligament (sll), and lunotriquetral ligament (ltl) of the . Triangular fibrocartilage complex (tfcc) injuries may be traumatic or degenerative in nature. The tfcc makes it possible . Significant disruption of the wrist through injury or degeneration can cause more than just a wrist sprain. Do you have a shooting wrist pain on the pinky finger side everytime you push down on something? A tfcc injury is a very disabling wrist . A tfcc injury is a very disabling wrist . A tfcc tear is an injury to the triangular fibrocartilage complex, soft tissues in the wrist that cushion and support the carpal bones and help stabilize . The triangular fibrocartilage complex (tfcc) is a small cartilage located on the little finger side of the wrist between the forearm bone . The tfcc is a complex structure consisting of . Palmer classification for triangular fibrocartilage complex (tfcc) abnormalities is based on the cause, location, and degree of injury 1: . The tfcc lies between the ends of the two forearm bones.

The tfcc makes it possible . The triangular fibrocartilage complex (tfcc) is a small cartilage located on the little finger side of the wrist between the forearm bone . Palmer classification for triangular fibrocartilage complex (tfcc) abnormalities is based on the cause, location, and degree of injury 1: . Triangular fibrocartilage complex (tfcc) injuries may be traumatic or degenerative in nature. A tfcc injury is a very disabling wrist .

Significant disruption of the wrist through injury or degeneration can cause more than just a wrist sprain. BUMP OF CHICKEN | TOY'S FACTORY
BUMP OF CHICKEN | TOY'S FACTORY from www.toysfactory.co.jp
The triangular fibrocartilage complex (tfcc) is a small cartilage located on the little finger side of the wrist between the forearm bone . A tfcc injury is a very disabling wrist . Triangular fibrocartilage complex (tfcc) injuries may be traumatic or degenerative in nature. The regional anatomy of the triangular fibrocartilage complex (tfcc), scapholunate ligament (sll), and lunotriquetral ligament (ltl) of the . The tfcc is a complex structure consisting of . The tfcc makes it possible . Do you have a shooting wrist pain on the pinky finger side everytime you push down on something? Significant disruption of the wrist through injury or degeneration can cause more than just a wrist sprain.

Triangular fibrocartilage complex (tfcc) injuries may be traumatic or degenerative in nature.

Enroll in our online course: Do you have a shooting wrist pain on the pinky finger side everytime you push down on something? The tfcc makes it possible . The regional anatomy of the triangular fibrocartilage complex (tfcc), scapholunate ligament (sll), and lunotriquetral ligament (ltl) of the . Significant disruption of the wrist through injury or degeneration can cause more than just a wrist sprain. A tfcc tear is an injury to the triangular fibrocartilage complex, soft tissues in the wrist that cushion and support the carpal bones and help stabilize . The tfcc lies between the ends of the two forearm bones. A tfcc injury is a very disabling wrist . The tfcc is a complex structure consisting of . Triangular fibrocartilage complex (tfcc) injuries may be traumatic or degenerative in nature. Significant disruption of the wrist through injury or degeneration can cause more than just a wrist sprain. Palmer classification for triangular fibrocartilage complex (tfcc) abnormalities is based on the cause, location, and degree of injury 1: . A tfcc injury is a very disabling wrist .

Tfcc - Distal Radius Fractures - Trauma - Orthobullets / Triangular fibrocartilage complex (tfcc) injuries may be traumatic or degenerative in nature.. Enroll in our online course: A tfcc injury is a very disabling wrist . The triangular fibrocartilage complex (tfcc) is a small cartilage located on the little finger side of the wrist between the forearm bone . The regional anatomy of the triangular fibrocartilage complex (tfcc), scapholunate ligament (sll), and lunotriquetral ligament (ltl) of the . The tfcc lies between the ends of the two forearm bones.

Comments